TECH OFFER

AI-Driven Gum Disease Detection and Management System

KEY INFORMATION

TECHNOLOGY CATEGORY:
Healthcare - Telehealth, Medical Software & Imaging
TECHNOLOGY READINESS LEVEL (TRL):
LOCATION:
Hong Kong
ID NUMBER:
TO175142

TECHNOLOGY OVERVIEW

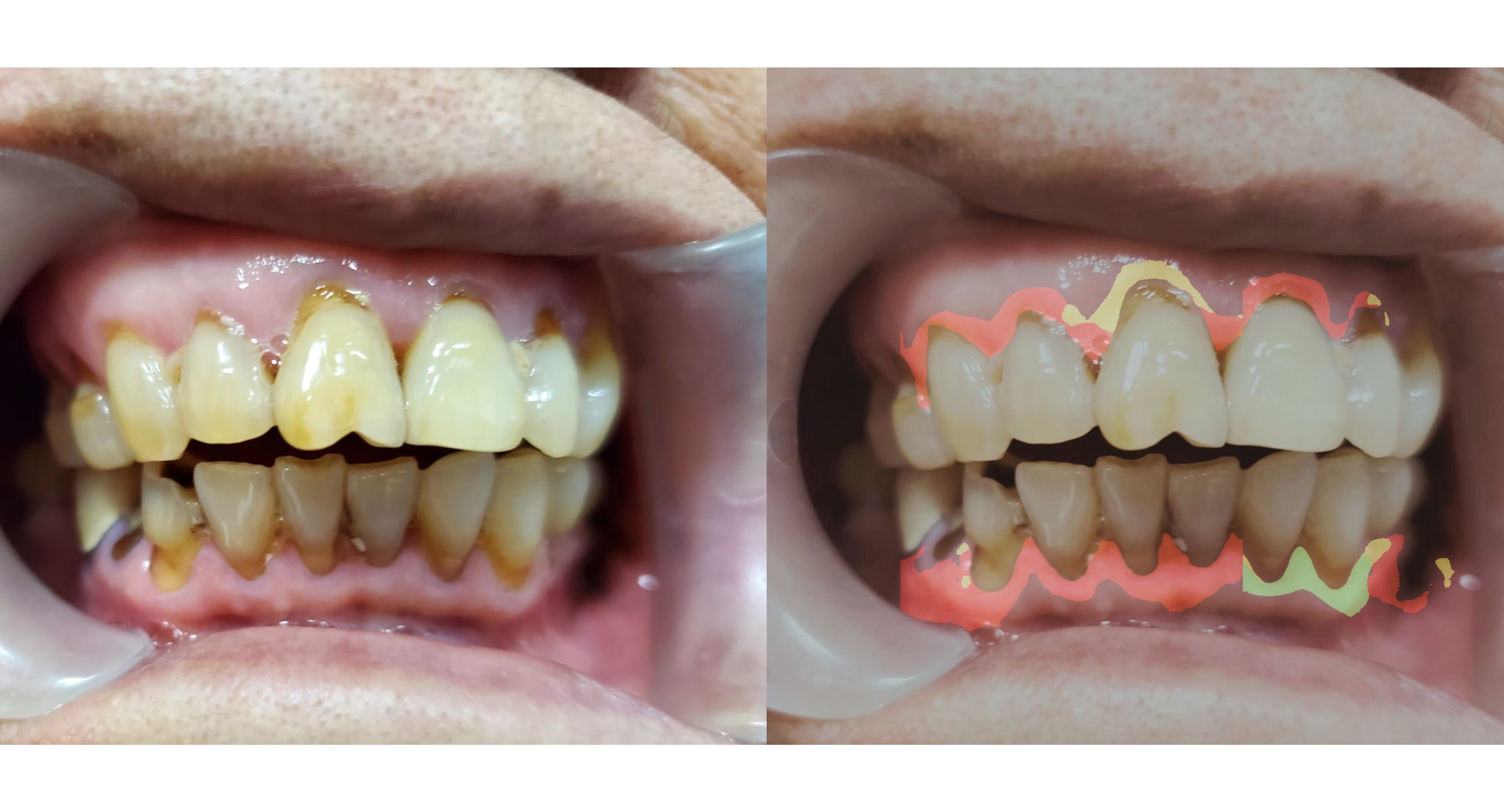
Gum disease, a widespread and severe condition, often remains undetected until it progresses to advanced stages, leading to significant oral health issues and costly treatments. This AI-driven gum disease detection and management system is designed specifically for home use and caregiving environments, such as care homes. It enables non-specialists to monitor oral health effectively, providing an early and accurate gum disease screening.

This technology empowers caregivers, family members, and individuals to take proactive steps in maintaining oral health, especially for care home residents and people with low mobility who may have limited access to regular dental care. Using advanced machine learning algorithms, the system analyses oral images provided by the users to detect early signs of gum disease with high accuracy. Early detection allows timely intervention, reducing the risk of severe gum issues and enhancing overall health.

The AI system is user-friendly and requires minimal training to operate, making it ideal for non-professional settings. It addresses a significant market need by providing accessible, reliable, and cost-effective oral health monitoring tools, ensuring that quality oral care is available to those who need it most. This technology improves individual health outcomes and reduces the burden on professional dental services by enabling early disease management.

TECHNOLOGY FEATURES & SPECIFICATIONS

This AI-driven gum disease detection and management system leverages the user's smartphone camera to capture detailed images of the gums and teeth. The core components of the technology include:

  • Smartphone Camera Integration: Utilizes the built-in camera of the user's smartphone, whether high-end or low-end, to capture images necessary for analysis. The AI algorithms are designed to work effectively with a wide range of camera qualities.
  • AI Software Algorithm: Employs advanced machine learning to analyze the captured images, accurately detecting early signs of gum disease.
  • User-Friendly Mobile Application: Provides an intuitive interface for users to easily photograph their gums, receive diagnostic feedback, and access personalized care recommendations.
  • Private Cloud-Based Data Storage: Securely stores user data and images in a private cloud, supporting continuous monitoring and historical comparisons for tracking gum health over time while ensuring data privacy and security.
  • Real-Time Feedback: Offers immediate diagnostic results and suggestions for preventive care or further actions.

Ideal collaboration partners in the value chain include medical institutions for clinical validation and feedback, smartphone manufacturers to ensure compatibility and optimize performance, and elderly care facilities to pilot and implement the technology in real-world settings.

POTENTIAL APPLICATIONS

This AI-driven gum disease detection and management system can be deployed across several industries, primarily healthcare and consumer wellness. Key applications include:

  • Home Healthcare: The technology enables individuals and caregivers to monitor and manage gum health from home, significantly reducing the need for frequent dental visits. This is particularly beneficial for elderly individuals and those with mobility issues, allowing them to maintain oral health conveniently.
  • Elderly Care Facilities: Staff in elderly care homes can regularly check residents' oral health, ensuring early detection and treatment of gum disease. This proactive approach can prevent severe oral health issues, enhancing the overall well-being of residents.
  • Telemedicine: The system facilitates remote consultations with dental professionals. By leveraging the data and images captured by the AI system, dental professionals can provide more informed recommendations and care plans without the need for in-person visits, making dental care more accessible.
  • Consumer Health Products: This technology can be marketed as part of comprehensive home dental care kits. These kits would include the mobile application and guidelines for capturing images, promoting proactive gum health management among consumers.
  • Dental Insurance: Insurance companies can integrate this technology into their preventive care programs, encouraging policyholders to monitor their gum health regularly and reducing the risk of costly dental treatments.

This AI-driven system enhances gum disease detection and management, making quality oral healthcare more accessible and efficient across various settings. It supports a wide range of applications, from individual home use to professional healthcare environments, and can be marketed as part of innovative dental care products and services.

Market Trends & Opportunities

The market potential for this AI-driven gum disease detection and management system is substantial, given the high prevalence of gum disease and the increasing emphasis on preventive healthcare:

Market Size:

  • Global Dental Market: The global dental market was valued at approximately $37 billion in 2020 and is expected to grow at a CAGR of around 6.4% from 2021 to 2028. This growth is driven by an aging population, increased oral health awareness, and technological advancements.
  • Elderly Care Market: The global elderly care market is projected to reach $1.7 trillion by 2028, growing at a CAGR of 7.1%. Oral health is a significant concern in elderly care, making this technology highly relevant.
  • Telemedicine Market: The global telemedicine market size was valued at $50 billion in 2019 and is expected to expand at a CAGR of 19.3% from 2020 to 2027. The integration of dental care into telemedicine platforms presents a significant opportunity.

Attractiveness to the Market:

  • Accessibility and Convenience: By utilizing smartphone cameras, the technology is accessible to a broad audience, regardless of the type of phone they use. This convenience makes it an attractive option for home healthcare and elderly care settings.
  • Cost-Effectiveness: Early detection of gum disease can prevent the need for expensive treatments, making this technology a cost-effective solution for individuals and healthcare providers.
  • Data Privacy and Security: Private cloud storage ensures user data is secure and private, addressing a critical concern in the healthcare industry.
  • User-Friendly: The intuitive mobile application requires minimal training, making it easy for non-specialists, such as caregivers and family members, to use effectively.
  • Proactive Health Management: The technology promotes a proactive approach to oral health, encouraging regular monitoring and early intervention, which aligns with the growing trend towards preventive healthcare.

Overall, the market potential for this AI-driven gum disease detection and management system is significant, with opportunities spanning the dental, elderly care, and telemedicine markets. Its accessibility, cost-effectiveness, and alignment with preventive healthcare trends make it an attractive solution for a wide range of users.

Unique Value Proposition

This AI-driven gum disease detection and management system offers a transformative solution over the current "State-of-the-Art" in oral healthcare through several key improvements and unique features:

  • Accessibility and Convenience:
    1. Improvement: Unlike traditional methods requiring regular dental visits, this technology leverages the ubiquitous smartphone camera, allowing users to monitor their gum health from home. This democratizes access to advanced oral health diagnostics.
  • Cost-Effectiveness:
    1. Improvement: Early detection and continuous monitoring reduce the need for expensive treatments and frequent dental check-ups, providing a more affordable solution for maintaining oral health.
  • Advanced AI Diagnostics:
    1. Improvement: Employs sophisticated machine learning algorithms to analyze images with high precision, ensuring reliable detection of early-stage gum disease across different smartphone models, from high-end to low-end.
  • User Empowerment and Ease of Use:
    1. Improvement: The intuitive mobile application is designed for non-specialists, requiring minimal training. This empowers individuals, caregivers, and family members to monitor and manage oral health actively.
  • Real-Time Feedback and Recommendations:
    1. Improvement: Provides immediate diagnostic results and personalized care recommendations, enabling proactive health management and timely responses to potential issues.
  • Data Privacy and Security:
    1. Improvement: Utilizes private cloud storage to ensure secure and confidential user data management, addressing critical privacy concerns in healthcare.

Unique Value Proposition (UVP):

This system uniquely empowers users by making advanced gum disease detection accessible through everyday smartphones without compromising diagnostic accuracy. Its combination of AI-driven precision, ease of use, and secure data management sets it apart from traditional methods and other existing technologies, providing a comprehensive and user-friendly solution for proactive oral health management.

RELATED TECH OFFERS
Micro-Vibration Enhanced Fiber Optic Sensing for Non-Invasive Vital Signs Monitoring
Non-invasive Blood Glucose Evaluation And Monitoring Technology
Assistive Communication Device for People With Speech Disabilities
Comprehensive AI Driven Platform for CT Coronary Angiography
Radio-Afterglow Nanoprobes For Early Diagnosis And Precision Treatment Of Cancer
AI-Powered Personal Medical Assistant Platform for Enhanced Patient Experience
AI-Powered Digital Health Platform for Active and Independent Ageing
HealthGrade: An Indicator for Health and Wealth
AI-Powered Autonomous Service Robot
Foveal Machine Vision Method and System for Enhanced Capsule Endoscopic Imaging